Сагс
Сагс хоосон байна

Ширхэг:
0

Нийт:
0

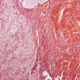
Гипофиз булчирхай (уртааш огтлол, бага зэрэг томруулсан)

Гипофиз булчирхай (уртааш огтлол, бага зэрэг томруулсан)

Гипофиз булчирхай (уртааш огтлол, бага зэрэг томруулсан)

50 дахин томруулсан

Биологи

5-р анги

1024x683 / 824 kB

Түлхүүр үгс

mozaLink

/

Веб холбоос